Wir behandeln Ihre Zähne mit Liebe ! 

 

 

 

Implantologie

Hier zeigen wir Ihnen einige Versorgungen von implantatgetragenem

Zahnersatz, wobei die Implantat- Chirurgie entweder von uns selbst

oder in Zusammenarbeit mit Oralchirurgen durchgeführt wurde.


Ziel ist eine langfristige funktionsgerechte, aber auch ästhetisch

unsichtbare Versorgung. Dabei verwenden wir zum größten Teil

Astra- Tech- Implantate, da diese eine konische Verbindung von

Implantat und Aufbau aufweisen.

 

Hier einige Beispiele unserer Patienten:



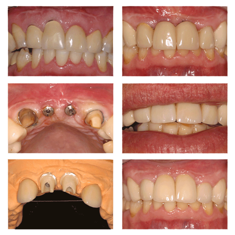
 2016- Vollkeramikbrücke auf Titan- Keramik- Aufbauten im Oberkiefer

 

Unser größtes Ziel ist die Spannungsfreie Eingliederung der Brücke, damit die Implantate keinen Mikrobewegungen ausgesetzt sind. Dies steigert die Langzeitprognose erheblich. 

 

  • IMPLA, 24-26 Brucke, Demo-10-8922
  • IMPLA, 24-26 Brucke, Demo-24-8922
  • IMPLA, 24-26 Brucke, Demo-03-8922
  • IMPLA, 24-26 Brucke, Demo-16-8922

 2016- Abutmentkronen auf Implantaten


Bei dieser modernen Art der Implantatversorgung wir auf den Einsetzzement verzichtet. Dadurch können keine Klebereste in der Tiefe

ausgewaschen werden, was zu Infektionenen und damit zu Knochenabbau

führen kann. Der Schraubenkanal wird im Anschluss an die Eingliederung verschlossen.

In diesem Fall wurden die Implantate von Dr. Beniasvilli (Schorndorf) gesetzt.



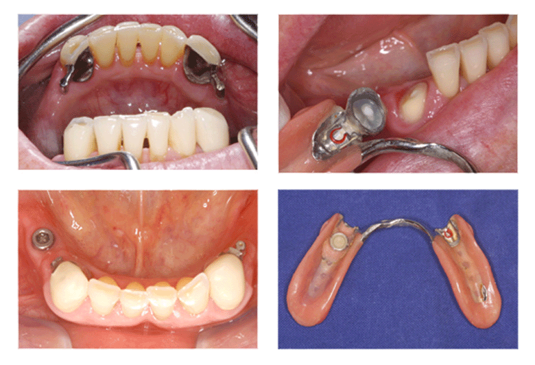
  2016- Teleskop- Prothese im OK, Steggetragene Prothese im UK


Diese beiden Varianten der implantatgetragenen herausnehmbaren

"Prothesen" stellen die optimale Form der Wiederherstellung der

Funktion und Ästhetik dar. Zuerst wird der gewünschte und mögliche

Ziel- Zustand bis ins Detail geplant und danach Schritt für Schritt umgesetzt. Dabei ist das digitale smile-design eine wertvolle Hilfe.

Die Herstellung erfolgt mit Hilfe der CAD/ CAM- Technik. 

Die Implantate bei diesem Patienten wurden von Dr. Watanpour (Backnang) gesetzt.

Die Anfangsbilder zeigen den Ausgangszustand mit stark abgesenktem Biss, das Lippenbild ist eingefallen. Nach Abschluss der Behandlung, aber auch schon bei der provisorischen Versorgung, ist die Funktion vollständig wieder hergestellt und das Lachen verjüngt deutlich den Gesichtsausdruck.


  • Köngeter
  • Brücke-Fink-1
  • Brücke-Fink-2
  • Brücke-Förster
  • Achatz
  • Hofmann
  • Dollmann-1
  • Click-Ok-Bühler

 

 

 


 


 Zahnarztpraxis

Stefan Krause

Dr.-Hockertz-Str. 18

73635 Rudersberg

 

Telefon:   07183-3678

Telefax:   07183-3666

whatsapp

01522 8466422

E-Mail:

praxis@zahndate-bykrause.de


Sprechzeiten:

Mo/Di/Do

Mi/Fr

08.00-12.00

08.00-12.00

14.00-18.00


 

 

 

 

 

E-Mail
Anruf
Infos
Instagram