Wir behandeln Ihre Zähne mit Liebe ! 

 

 

 

Zahntrauma


         Patienteninformation der DGZMK

Zahntrauma
Verhalten bei einem Zahnunfall
PI_Zahntrauma Kinder_2020.pdf (1.11MB)
Zahntrauma
Verhalten bei einem Zahnunfall
PI_Zahntrauma Kinder_2020.pdf (1.11MB)


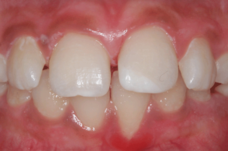
  • Zahnfraktur Zahn 21
  • abgebrochenes Stück Zahn
  • 7414-Trauma-Abdeldaym-13.780
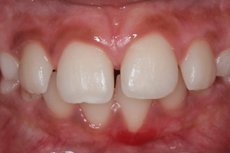
  • 7414-Trauma-Abdeldaym-14.78
  • 1 Woche nach der Behandlung


 


 Zahnarztpraxis

Stefan Krause

Dr.-Hockertz-Str. 18

73635 Rudersberg

 

Telefon:   07183-3678

Telefax:   07183-3666

whatsapp

01522 8466422

E-Mail:

praxis@zahndate-bykrause.de


Sprechzeiten:

Mo/Di/Do

Mi/Fr

08.00-12.00

08.00-12.00

14.00-18.00


 

 

 

 

 

E-Mail
Anruf
Infos
Instagram