Wir behandeln Ihre Zähne mit Liebe !
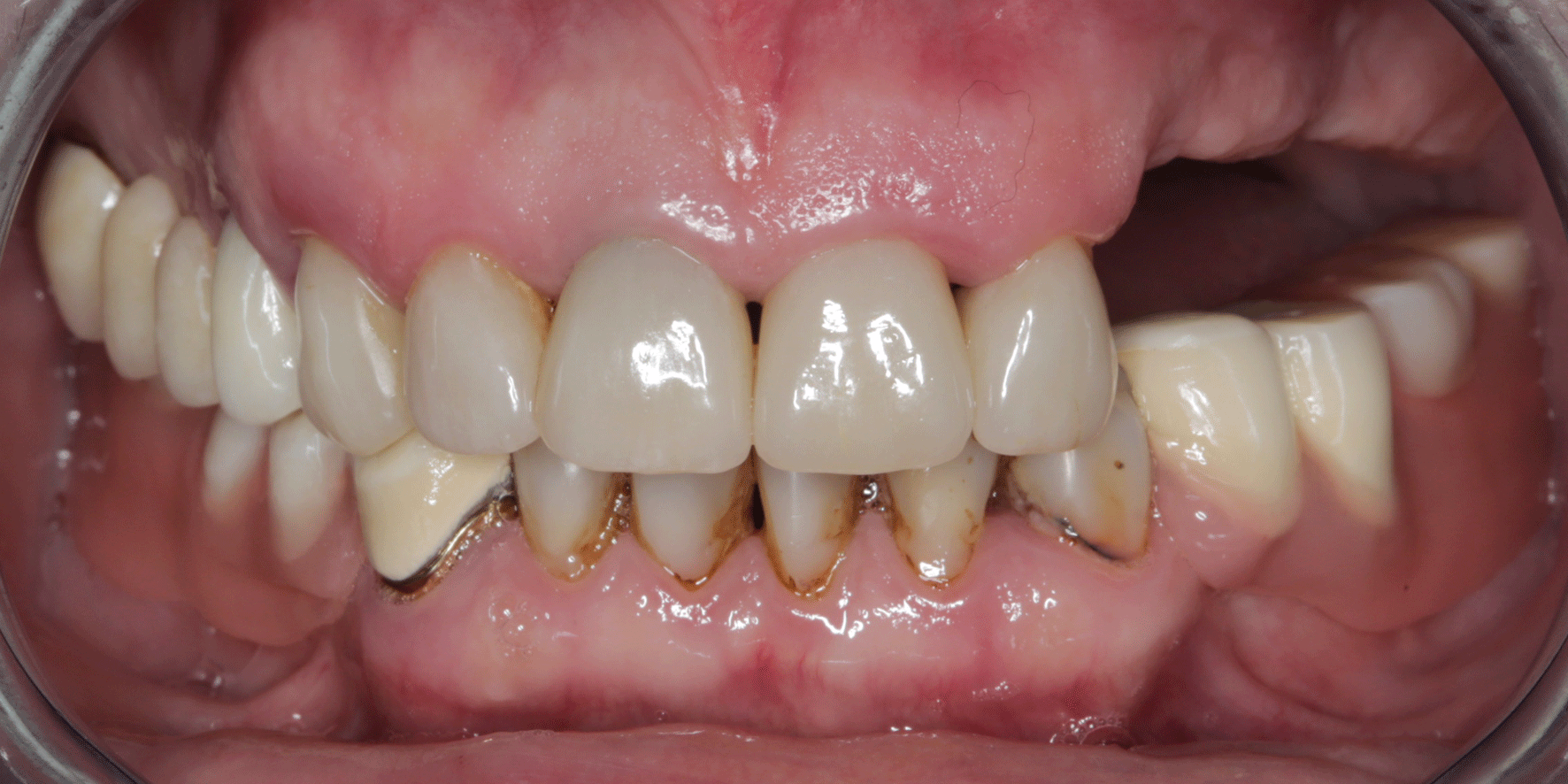
| - metallfreie Interimsprothese - -> auch für längere Zeit |
Stefan Krause Dr.-Hockertz-Str. 18 73635 Rudersberg
Telefon: 07183-3678 Telefax: 07183-3666 whatsapp: 01522 8466422 E-Mail: praxis@zahndate-bykrause.de Sprechzeiten:
|